当院は、お子様からご年配の方まで、幅広い年齢の方々へ対応しております。
少しでもリラックスして治療を受けていただけるよう、コミュニケーションを大切にし、心配りをしております。
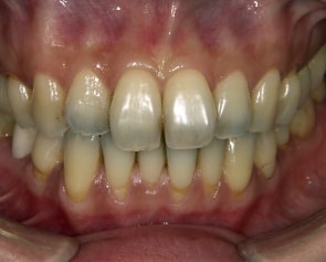
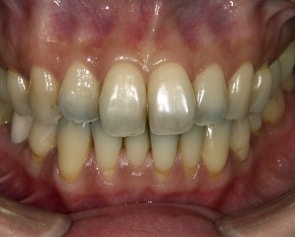
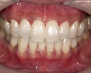
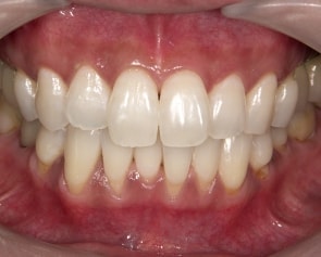
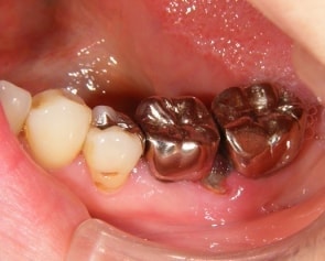
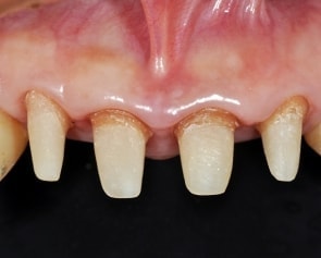
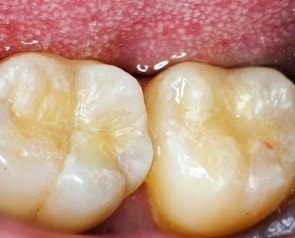
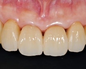
定期検診を根本に、早期発見・早期治療をめざし、大切な歯を失うことのないメンテナンス、治療を提供していきたく思います。
・歯が痛む ・虫歯を治したい ・食事をよくこぼす ・口臭が気になる ・タンが絡む ・入れ歯を作りたい ・何か違和感がある
・お子様が健診で虫歯と言われた ・定期的にチェックしたい ・歯茎が腫れていたい ・インプラントに興味がある ・歯を白くしたい
・歯並びが気になる ・歯のクリーニングがしたい ・入れ歯が合わない、落ちる、気持ち悪いなど・・・
歯科口腔外科とは、
むし歯や歯周病治療といった一般歯科に加えて、口の中とあごの骨、関節、唾液(だえき)をつくる腺やその周りの病気を治療対象とし、
話をしたり、物を食べたりする「口の機能」を維持増進することを目的としています。
そのため、歯のみではなく、顎関節、口腔粘膜の難治性口内炎、顎下腺・舌下腺などの唾液腺疾患を含め、口の中、あご、舌の疾患全般を対象に
診断・治療を行っております。
例えば、難しい親知らずの抜歯、自家歯牙移植、顎関節症、舌痛症、口腔乾燥症(ドライマウス)、神経痛、骨髄炎などの炎症疾患、神経麻痺、
インプラント手術、インプラント植立前の骨増生手術、顎変形症手術、有病者の歯科治療、嚢胞や良性腫瘍の摘出手術、
また、口の中やあごなどのガンの治療も行うこともあり、歯科口腔外科は歯科と医科の両方にまたがる治療を行うケースがあります。
交通事故や物にぶつかって歯に損傷ができた場合や脱臼歯の再植、口唇の裂傷、あごの骨の骨折の整復処理などの外傷も歯科口腔外科で扱います。
疑わしい症状やお困りの事があれば、お早めにご相談ください。

![]()

![]()

![]()








